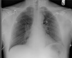
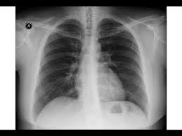
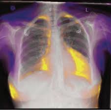
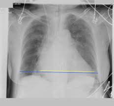
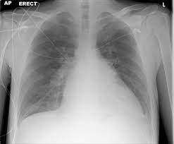
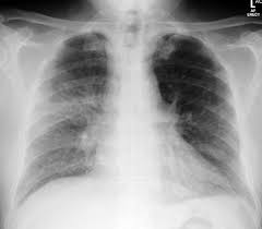
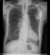
Heart Failure X Ray Images - Pulmonary congestion in cardiac failure | image. Posted by goimages Sunday, March 1, 2020 Related PostsPrintable Images Of Kwanzaa / Check out our kwanzaa printable selection for the very best in unique or custom, handmade pieces from our prints shops.Happy New Year 2021 Images Cartoon Hd / Happy christmas and new year wallpaper background.Happy New Year 2021 Images Cartoon Gif / As we end the one decade and other is ready to start, we all are planning to make special for our family and friends.Happy New Year 2021 Best Cartoon Images / Share the best gifs now >>>. Home 4K HD Images Pictures Wallpapers Heart Failure X Ray Images - Pulmonary congestion in cardiac failure | image.
0 comments